Case Sharing | Middle-to-distal third diaphyseal humerus fracture
-
2025-05-12
-
LEPU
Procedure:Minimally Invasive Percutaneous Plate Osteosynthesis (MIPPO) via the anterior approach with Ortho-Bridge System
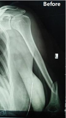
Case Overview: A 48-year-old female patient was diagnosed as Fracture of the middle-to-distal third of the left humeral shaft (AO classification: type B1).
The surgical team opted for Minimally Invasive Plate Osteosynthesis (MIPO) via the anterior approach using an Ortho-Bridge System (OBS). The surgery was completed successfully within 90 minutes, with an estimated blood loss of approximately 150 ml and an incision length of about 8 cm.
No external fixation was required postoperatively, and the patient began elbow joint mobilization exercises the following day to prevent stiffness and joint adhesions.
Advantages of OBS:
1. Flexible Configuration – Easily customized to meet diverse clinical needs.
2. Minimally Invasive – Reduces surgical trauma for faster recovery.
3. Safe & Reliable – Ensures secure fixation with high mechanical stability.
4. Multi-Application – Designed for use across different body parts.
Contact us>>marketing@lepu-medical.com
Visit lepumedical website for more >>en.lepumedical.com




